Author: Gus

  • Face Focused Follow Up

    Completed last turn on MARPE on 9th Jan. Total (net, as I went back and forth a bit towards the end) 65 turns = ~5.42mm lateral skeletal expansion of upper jaw going by the device design. IMW (Intermolar width) increased by 7mm from 31 – 38mm.

    Gallery:

    CBCT:

    Note – I’m using 3D Slicer and couldn’t figure out a setting that showed the bone nicely with this one. Possibly because the metal of the expander is much denser so it skews the range. Please send me an email/comment if you know how to get it to render well. I don’t need detail on the expander.

  • Face Focused Initial Assessment

    Gallery:

    CBCT:

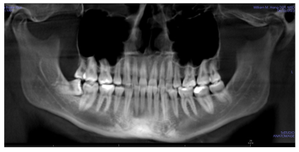
    Panoramic. My LR8 (lower right 8/third molar/wisdom tooth) is mesially (towards the center line) inclined and impacted here. We’re attempting to upright it with Invisalign as of April 2026.

    Airway:

    Assessment:

    Chief Complaints

    Bite, TMJ issues, appearance of jaw

    Signs & Symptoms

    • Hx. of smoking (quit at 17)
    • extraction of U/L 4’s
    • snoring
    • TMJ popping/discomfort
    • ringing in ears
    • daytime fatigue
    • grinding during the day
    • bite feels off/uncomfortable

    Clinical Exam Conditions

    • Head Posture: Forward Head Posture
    • Facial Features: Allergic Eye Shiners, Excessive Buccal Corridors
    • Vertical Upper Jaw Position: Mild Vertical Maxillary Excess
    • TMJ Pain (R/L): Mild
    • Masseter Pain (R/L): Moderate
    • Anterior Temporalis Pain (R/L): None
    • Posterior Digastric Pain: None
    • SCM Pain: None
    • Trapezius Pain: Moderate
    • Maximum Opening: > 50 mm (55)
    • TMJ Dysfunction: No Clicking/Popping
    • Deviation/Deflection: No Deviation/Deflection on Opening
    • Indicator Line: 42 mm
    • Intermolar Width: 31 mm
    • Mallampati: Class IV
    • Tonsils: Grade 1
    • Tori: None
    • Exostosis : Mild
    • Tongue Posture: Low rest posture
    • Tongue Features: Scalloping
    • TRMR – TIP: Grade 3 – < 50%
    • LPS Overflow: Grade 4 – >50%
    • Upper Arch Alignment: WNL
    • Lower Arch Alignment: Mild Crowding
    • Overjet: Mild
    • Overbite: Moderate Dental Deep Bite
    • Relative AP Molar Relationship: Class II Molars
    • Transverse Dental Relationship: Edge to Edge Bite R to L
    • Missing Teeth: Missing U&L 4’s
    • Other Problems: Still has wisdom teeth, LR8 mesially inclined
    • Airway MCA: 153.6mm2 (at risk for OSA less than 150mm2)

    Assessment

    • Sleep Disordered Breathing
    • TMJ Dysfunction
    • Ankyloglossia
    • Hypotrophy – Maxilla
    • Hypotrophy – Mandible

    Treatment Recommendations

    • Refer for Surgery Consult
    • Refer for General Dentist Visit [root canal for discolored lower incisor]
    • Comprehensive Orthodontic/Surgical Treatment